俗话说“人老腿先衰”,到了一定岁数之后,大多数人会出现不止一次的关节疼痛,尤其是下肢的膝关节、髋关节较为常见。在除去外伤、劳损、感染、肿瘤等原因后,最常见导致中老年人关节疼痛的罪魁祸首就是“骨关节炎”。

骨关节炎(osteoarthritis, oa)
是一种常见的关节退行性疾病,多发生于中年以后人群。根据流行病学调查,目前全球已有超过3亿骨关节炎患者,而我国40岁以上人群原发性oa的总体患病率已高达46.3%,65岁以上人群更是超过50%为oa患者。就是说有半数以上的中老年人或多或少受到骨关节炎病痛的折磨。

oa可分为原发性oa和继发性oa,原发性oa多见于中老年人群,一般无明确的全身或局部诱因,与年龄、体重、遗传因素有一定关联;继发性oa可见于年轻人,常继发于外伤、长期劳损、炎症、代谢性疾病等。oa多发于负重大、活动多的关节,如膝、髋、手、踝等关节。
这里提供一份骨关节炎高危因素的筛查,读者可自行比对:
1.膝关节oa
老年、女性、超重、环境寒冷阴湿、家族中有oa患者、膝关节周围肌肉萎缩、膝关节内外翻畸形、髌骨半脱位;需长期跪、蹲、屈膝或负重的职业等。
2.髋关节oa
老年、女性、家族中有oa患者、髋臼发育不良、股骨颈凸轮样畸形、长期从事负重劳动等。
3.手部oa
中老年、处于围绝经期、家族中有oa患者、长期从事特殊手部劳动等。
关节疼痛和关节活动受限是骨关节炎最常见的症状,疼痛程度开始为轻中度间断性疼痛,休息后可缓解,劳累、运动、受凉后会加重,随着疾病的进展疼痛逐渐加剧。到后期,关节活动度会逐渐下降,并出现关节绞锁、僵硬感。若您近期一直出现某关节部位的反复疼痛发作,建议您及时前往医院就诊,进行相应的检查和治疗。

当您到医院就诊后,除了常规的“视、触、动、量”以外,医生一般会要求您拍摄一张x线片。x线是骨科疾病的最基本检查手段之一,也是骨关节炎影像学诊断的“金标准”。通常对于骨关节炎的影像学检查,往往无需ct、核磁共振(mri),一张简单的x线平片即可明确。当然,mri可显示关节软骨、半月板、交叉韧带、滑膜等关节软组织的情况,可以早期诊断和准确评价软组织的变性与损伤,是对x线检查的进一步补充。

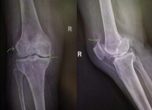
这是膝关节骨关节炎典型的x线片,上图箭头所示右膝内侧间隙较外侧间隙明显狭窄,软骨下骨硬化;股骨、胫骨平台、髌骨上级边缘有增生的骨赘;侧位片显示关节后方有一枚关节内游离体。
骨关节炎的治疗讲究个体化的阶梯治疗。早期的基础治疗,包括:改善生活习惯、避免长时间跑跳蹲、减少爬楼梯爬山、控制体重、关节保暖、适当肌肉关节锻炼、使用拐杖支具等。若基础治疗缓解不明显,可上升至第二阶梯药物治疗,包括:局部外用药物、口服镇痛药物、关节腔注射药物、缓解oa症状的慢作用药物、抗焦虑药物、中成药等。若仍旧治疗效果不佳,则推荐第三阶梯的外科修复性手术治疗,包括:关节清理术、软骨修复术、截骨术、关节融合术等。对于终末期的老年骨关节炎患者,基础治疗、药物治疗效果不佳,则考虑行人工关节置换术。目前以全髋关节、全膝关节、膝关节单髁置换术应用最为广泛,技术成熟,治疗效果肯定;而肩关节、肘关节、踝关节置换术等在临床上也具有一定的适用性。
您在就医后,医生会根据您的年龄、病因、病变部位、疾病程度作出个体化的治疗推荐,以缓解疼痛,改善关节功能,提高生活质量。

图片引自骨关节炎诊疗指南(2021年版)
骨关节炎的“三级预防策略”
一级预防—无病防病:从青少年起,就要注意合理膳食营养,不吸烟、不饮酒,科学、适当地进行体育锻炼;建立良好的生活作息习惯,调整好正确的姿势和体位,避免意外损伤
二级预防—有病早治:一旦出现了关节疼痛、功能障碍的情况,请及时就医,医生会制定个体化的精准治疗,缓解症状、改善功能,防止疾病的进展。
三级预防—康复医疗:对于骨关节炎患者,进行科学适当的康复锻炼,实施个体化的阶梯治疗方案。
股骨头坏死与髋关节骨关节炎的关系
股骨头坏死是股骨头静脉淤滞、动脉血供受损或中断使骨细胞及骨髓成分部分死亡及发生随后的修复,继而引起骨组织坏死,导致股骨头结构改变及塌陷的疾病,虽说也会造成髋关节疼痛、活动受限等症状,但与髋关节骨关节炎完全是不同的两种疾病,治疗方法也不尽相同。
结语
骨关节炎是一种常见的关节退行性疾病,对于半数以上的中老年人,多少会受到骨关节炎病痛的折磨。以积极的心态、正确的认识并面对疾病,通过积极预防,及早发现,采取正确的治疗方法,将骨关节炎造成的影响降至最低,并拥有一份健康无痛的美好生活!
















评论 (0)