前十字韧带(ACL)是维持膝关节正常生物力学的重要结构,也是最容易出现损伤的韧带。在日常的打球、跑步甚至上下楼梯中都可能会出现前叉损伤。然而现实中很多人并不知道自己已经前叉受损了,依然继续运动,结果导致了更严重的后果!
怎么知道自己前叉是否受损了呢?鉴于前交叉韧带生长结构的特殊性,只能通过核磁来判断。那么核磁怎么看前叉是否完整呢?今天就给大家来详细介绍下。
一、前交叉韧带(ACL)的解剖结构
起自胫骨髁间隆起的前方内侧,与外侧半月板的前角愈着,斜向后上方外侧,纤维呈扇形附着于股骨外侧髁的内侧。

前交叉韧带的纤维根据其胫骨止点[1]排列成两束,称为前内侧束(AM)和后外侧束(PL)。前内侧束插入在外侧股骨髁的更内侧和更上方,而后外侧束插入在外侧股骨髁的更外侧和更远端。
偶尔在这两个束之间有一个额外的中间束[2,3]。整个ACL的长度约为38 mm,宽度约为11 mm[4]。前内侧束长38.5±3m,后外侧束长19.7±2mm.两束大小相似,平均宽度为5.0±0.7 mm,中间物质[5]的宽度为5.3±0.7 mm.

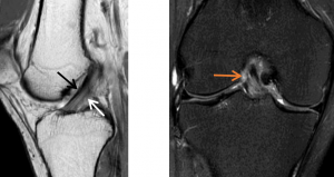
二、ACL正常的核磁成像
如图A所示,矢状面观察,正常的前交叉韧带(ACL),其特征是从胫骨平台向前延伸到股骨外侧髁的内侧的纤维是绷紧的、连续的、低信号强度的纤维,ACL的较前部分是前内侧(AM)束(黑色箭头),而较后部分是后外侧(PL)束(白色箭头)。
如图B所示,冠状面观察,可在髁间窝内观察到明显的前交叉韧带成像(橙色箭头)

三、损伤特征
1、ACL连续性中断、异常信号

A:前交叉韧带撕裂的典型外观,前交叉韧带的纤维不连续(箭头)。股骨侧(星号)和胫骨侧(白色箭头)残端松弛、增厚、信号增强;
B:慢性前交叉韧带撕裂,正常前交叉韧带纤维缺失,纤维完全吸收。(弯曲的黑色箭头);
C:急性撕裂,以ACL纤维增厚和水肿性改变为特征,显示信号强度增加(白色箭头)。纤维仍保持连续性,提示前交叉韧带部分撕裂。
2、ACL张力消失

如图所示,前交叉韧带(ACL)部分撕裂的矢状位成像,前交叉韧带松弛张力消失,外观凹陷(白色箭头),信号强度增加。然而,纤维仍然是连续的,提示部分前交叉韧带撕裂。
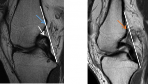
3、胫骨过度前移

如图所示,胫骨平移的前移,可测量平行于图片框架的两条线(白线)之间的距离。在股骨外侧髁的正中矢状面上,通过胫骨外侧平台的最后角画一条线,第二条线与股骨外侧髁的最后面相切。胫骨前移位5-7mm提示前十字韧带撕裂,大于7mm可诊断为前交叉断裂。
4、后交叉韧带弓形抬高

图1:前叉断裂后,后叉的弓形抬高
图2:正常的后交叉形态
1:前交叉韧带完全撕裂后,后交叉韧带会出现屈曲,也就是弓形抬高。如果后交叉韧带后上缘的任何部分是凹的(白色箭头),则认为PCL是过度屈曲的;
2:画一条与后交叉韧带后缘相切的线(白线),如果该切线在其远端5cm内不与股骨后侧相交,则认为PCL线为正;如图1所示,前叉连续性异常时,后交叉切斜明显股骨后侧相交(蓝色箭头位置),图2则会有一定距离(橘色箭头位置)。
关于前叉损伤核磁阅读,因为伤情各不相同,还需要查体和医生的丰富经验判断。本文只是分享一些经典案例,如果有不适,建议咨询医生。












评论 (0)