
如果在运动中,半月板急性损伤,要用至少一个月的时间进行恢复。 半月板受伤24小时内 运动损伤急性期,即膝关节损伤24小时内,遵循急性损伤的“PRICE”原则。 P-protect(保护):膝关节运动损伤时需要保护患腿,不能随意搬动肢体,必要...

当下蹲或者做弓步运动时,膝盖发出类似打响指的声音,有些患者担心出了什么问题,其实许多情况下是气穴现象引起的,当关节内的压力出现变化,溶解在关节液中的二氧化碳形成气泡,在关节缝中形成一个小空腔,当空腔快速闭合时,就会发出类似打响指或者气泡爆裂...

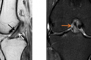
前交叉韧带(ACL),又称前十字韧带,是膝关节交叉韧带之一,位于膝关节内连接股骨与胫骨,主要是限制胫骨的过度前移,有固定骨骼和保持膝关节稳定的作用。ACL损伤是青壮年膝关节最常见的运动损伤,治疗不当可能会引起膝关节功能异常,导致膝关节功能性...

前十字韧带(ACL)是维持膝关节正常生物力学的重要结构,也是最容易出现损伤的韧带。在日常的打球、跑步甚至上下楼梯中都可能会出现前叉损伤。然而现实中很多人并不知道自己已经前叉受损了,依然继续运动,结果导致了更严重的后果! 怎么知道自己前叉是否...

一直以来,我们认为80%以上的前交叉韧带撕裂是非接触性的,但是在近些年的研究中“推翻”了这一数据,研究人员发现,在足球、篮球、橄榄球中,有一半以上的ACL损伤是接触性的(间接接触占主要原因)。 一、运动场上的接触性损伤指的是什么? 接触性指...

一、个案信息 性别:男 年龄:32 初次评估时间:2022.9.27 受伤原因:马路骑行意外摔伤 情况:右膝髌骨骨折 主诉:2022.8.21受伤,经外科医生建议后支具固定,未行手术,走路时颠簸,上下楼梯疼痛,屈膝关节活动度受限,伸膝稍受限...

前交叉韧带是连接大腿骨(股骨)和小腿骨(胫骨)的四根主要韧带之一,作用在于控制小腿向前伸,胫骨内旋,以及膝关节的稳定性,当运动时膝关节突然改变方向,急刹车,或者从高处跳下来,落在松软或者不平的地面上,韧带被过度拉伸,都可能造成前交叉韧带撕裂...


半月板是膝关节中的减震器,位于大腿骨和小腿骨(胫骨)之间,随着膝关节的运动,半月板前后移动及旋转,当发生撕裂时,半月板的一部分不能随着膝关节运动,就可能出现疼痛以及被卡住的感觉。半月板撕裂主要分两种: 外伤性的半月板撕裂一般和剧烈运动有关,...

股骨颈骨折多发于中老年人群。多数是由于意外跌倒、车祸或受外力钝挫伤导致。 股骨颈骨折是一种转子近端的关节囊内骨折,可分为以下4种情况。 伤后根据严重程度考虑保守治疗及手术治疗。若采取手术治疗,其术后应立即进行康复。据统计约有50%的髋关节骨...
微信公众号
156-4098-1490
关注官方微信,了解最新资讯

